Tak chłopiec chciał zmierzyć długość penisa. Konieczna była operacja

15-latek postanowił zmierzyć długość swojego penisa. W tym celu włożył do niego kabel USB. Przewód niestety utknął w ciele chłopca. By go wydostać potrzebna była operacja.

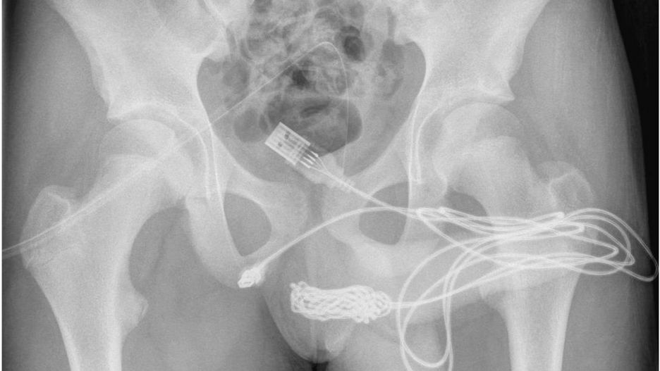
Przewód wewnątrz ciała chłopca poplątał sięPrzewód wewnątrz ciała chłopca poplątał się
Źródło zdjęć: © Twitter

Niebezpieczne pomiary

15-latek z Wielkiej Brytanii w nietypowy sposób postanowił zmierzyć swojego penisa kablem USB. Przewód zaplątał się wewnątrz ciała nastolatka, przez co chłopak nie mógł go samodzielnie usunąć.

Do sytuacji doszło w listopadzie 2021 roku. Węzły, które utworzyły się na kablu, sprawiły, że młody Brytyjczyk zauważył krew w moczu. Wtedy też jego mama zabrała go do szpitala.

Nikomu się nie przyznał

Chłopiec nie przyznał się nikomu, co zrobił. Nie jest też jasne, jak długo kabel przebywał w ciele 15-latka.

Lekarze byli zmuszeni przeprowadzić operację, by wydostać kabel z ciała
Lekarze byli zmuszeni przeprowadzić operację, by wydostać kabel z ciała © Twitter

"Pytanie mamy" - wywiad z uroginekolożką Joanną Mróz

Dopiero gdy jego mama opuściła gabinet, młody mężczyzna przyznał się personelowi medycznemu, że celowo włożył do penisa kabel, zamiast używać linijki.

Chłopak potrzebował operacji

Przez ilość powstałych supełków na kablu, lekarze również nie mogli go usunąć. By wydostać przewód z wnętrza cewki moczowej, chłopak musiał przejść operację. Finalnie oba końce przewodu wyciągnięto przez zewnętrzne ujście cewki moczowej.

Kabel USB udało się wydostać, jednak lekarze nie znają skutków takiej zabawy
Kabel USB udało się wydostać, jednak lekarze nie znają skutków takiej zabawy © Getty Images

Chłopak został wypisany ze szpitala, a dwa tygodnie później usunięto cewniki. Lekarze nie są jednak w stanie stwierdzić, jakie będą długotrwałe skutki takiej zabawy. 15-latek będzie więc pozostawał pod obserwacją.

Raport przypadków urologicznych

Raport, który stworzyli urolodzy, ostrzega, że wkładanie ciał obcych do cewki moczowej powoduje ból podczas oddawania moczu i może być przyczyną obecności krwi w moczu. Ponadto obecność wewnątrz cewki ciała obcego może sprawiać ból podczas erekcji, a nawet zatamować możliwość oddawania moczu.

W raporcie przeczytać możemy, że kabel to nie jedyny nietypowy przedmiot, który pacjenci wkładają do cewki. Wymienia on także sytuacje, w których różne osoby trafiały do szpitala z powodu wbitych w cewkę igieł, szpilek, a nawet łupin pistacji.

Lekarze przyznają, że takie przypadki nie są dla nich niczym niezwykłym. "Eksperymenty seksualne i gratyfikacja, a także leżące u ich podstaw zaburzenia psychiczne są uważane za główne przyczyny zatrzymania ciał obcych w cewce moczowej i pęcherzu".

W raporcie podkreślono, że w zależności od tego, w jaki sposób ciała obce zostały wprowadzone oraz od ich wielkości i kształtu zależy, czy pojawią się opóźnione powikłania. Głównie są to nawracające infekcje dróg moczowych, zwężania się cewki moczowej, a także fałszywe uczucie parcia na pęcherz moczowy czy jego perforacje. Leczenie takich przypadków może wymagać poważnych zabiegów rekonstrukcyjnych.

Małgorzata Banach, dziennikarka Wirtualnej Polski

Masz newsa, zdjęcie lub filmik? Prześlij nam przez dziejesie.wp.pl

Wybrane dla Ciebie
Odkryli jedną z możliwych przyczyn poronień. Naukowcy wskazali na rolę metabolizmu
Odkryli jedną z możliwych przyczyn poronień. Naukowcy wskazali na rolę metabolizmu
Gorączka bez objawów? Eksperci tłumaczą, co może się za tym kryć
Gorączka bez objawów? Eksperci tłumaczą, co może się za tym kryć
Kobiety w patowej sytuacji. Odstawienie tych leków przed ciążą zwiększa ryzyko tycia
Kobiety w patowej sytuacji. Odstawienie tych leków przed ciążą zwiększa ryzyko tycia
Emoji jako wołanie o pomoc. KidsAlert ujawnia ukryty język dzieci w internecie
Emoji jako wołanie o pomoc. KidsAlert ujawnia ukryty język dzieci w internecie
Dwulatek po hipotermii wrócił do zdrowia. "Cud zespołowej pracy"
Dwulatek po hipotermii wrócił do zdrowia. "Cud zespołowej pracy"
Przełomowe wytyczne dotyczące cukrzycy w ciąży. 27 kluczowych rekomendacji WHO
Przełomowe wytyczne dotyczące cukrzycy w ciąży. 27 kluczowych rekomendacji WHO
Dwa produkty dla dzieci wycofane z dużych sieciówek. Stanowią realne zagrożenie
Dwa produkty dla dzieci wycofane z dużych sieciówek. Stanowią realne zagrożenie
Liczba dzieci z nadciśnieniem się podwoiła. Eksperci alarmują
Liczba dzieci z nadciśnieniem się podwoiła. Eksperci alarmują
Barwniki w żywności zagrażają zdrowiu dzieci. Naukowcy alarmują o skali problemu
Barwniki w żywności zagrażają zdrowiu dzieci. Naukowcy alarmują o skali problemu
Oglądanie TV a późniejsze objawy ADHD. Brytyjczycy doszli do ciekawych wniosków
Oglądanie TV a późniejsze objawy ADHD. Brytyjczycy doszli do ciekawych wniosków
Finlandia uczy tego już przedszkolaków. Dlaczego Polska powinna wziąć z niej przykład?
Finlandia uczy tego już przedszkolaków. Dlaczego Polska powinna wziąć z niej przykład?
Autyzm a COVID-19. Naukowcy odkryli powiązanie, wyniki są niepokojące
Autyzm a COVID-19. Naukowcy odkryli powiązanie, wyniki są niepokojące