pierwsza pomoc dla dzieci

Wypadek na rowerze: pierwsza pomoc

Wypadek na rowerze: pierwsza pomoc

Agnieszka Gotówka Agnieszka Gotówka
112 – kiedy i jak wezwać pomoc?

112 – kiedy i jak wezwać pomoc?

Agnieszka Gotówka Agnieszka Gotówka
Zostawiła synka z babcią. Doszło do wypadku

Zostawiła synka z babcią. Doszło do wypadku

Maria Krasicka Maria Krasicka
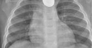
Pierwsza pomoc w przypadku zakrztuszenia i zadławienia

Pierwsza pomoc w przypadku zakrztuszenia i zadławienia

Anna Krzpiet Anna Krzpiet