Minuty dzieliły go od śmierci. Ciężko uwierzyć, co odkryli lekarze podczas badania

Dzieci często wkładają do ust różnego rodzaju przedmioty. Mama tego 2-latka zorientowała się, że chłopiec połknął coś, co znalazł na podłodze. Zdenerwowana kobieta zabrała chłopca na badania, które nie wykazały niczego niepokojącego i lekarze odesłali go do domu. Wkrótce jednak stan dziecka zaczął się pogarszać.

Co zrobić, gdy dziecko połknie baterię. "Gdybyśmy dotarli 10 lub 15 minut później, może nie udałoby mu się przeżyć"Co zrobić, gdy dziecko połknie baterię. "Gdybyśmy dotarli 10 lub 15 minut później, może nie udałoby mu się przeżyć"
Źródło zdjęć: © Instagram @tinyheartseducation
Anna Klimczyk

Chłopiec połknął baterię

27-letnia Hollie Phillips bawiła się ze swoim synkiem. Kobieta zauważyła, że chłopczyk bierze coś z podłogi i wkłada do ust, nie była szczególnie zaniepokojona. Nagle malec zaczął rozpaczliwie płakać. Minęło kilka godzin. Ralphie był nadpobudliwy i wymiotował krwią. Kobieta wiedziała, że dzieje się coś złego. Zabrała syna na izbę przyjęć i powiedziała lekarzom, że chłopczyk wkładał coś do buzi. Badanie wykrywaczem metalu nie wykazało niczego niepokojącego. Ralphie został wypisany i wrócił z mamą do domu. Jednak Hollie to nie uspokoiło. Dziecko wciąż było roztrzęsione, a wymioty nie ustępowały.

Kobieta wezwała karetkę pogotowia. W czasie transportu do szpitala chłopiec na zmianę tracił i odzyskiwał przytomność i, jak wspomina Hollie, dzieliły go minuty od śmierci.

- Byłam przerażona. Gdybyśmy dotarli 10 lub 15 minut później, może nie udałoby się go uratować - powiedziała kobieta.

Rodzicie myśleli, że to ugryzienie komara. Okazło się, że dziewczynka choruje na białaczkę

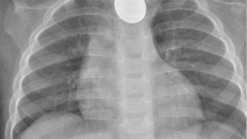
Chłopiec połknął baterię guzikową
Chłopiec połknął baterię guzikową © Facebook

W szpitalu maluch przeszedł kompleksową diagnostykę. Dopiero badanie RTG potwierdziło, że Ralphie połknął baterię guzikową, która widoczna była na prześwietleniu klatki piersiowej.

Lekarze podjęli szybką decyzję o operacji. Zabieg trwał trzy godziny.

Obecnie dziecko jest karmione sondą - kwas z baterii poważnie uszkodził śluzówkę jego tchawicy i przełyku.

Co powinien zrobić rodzic, kiedy zorientuje się, że dziecko połknęło baterię?

Autorki instagramowego profilu @tinyheartseducation postanowiły pokazać, co może się stać, gdy dziecko połknie baterię.

Kobiety zaznaczają, że nie tylko połknięcie baterii może być bardzo niebezpieczne, ale także wkładanie ich do nosa, uszu czy pod powiekę.

Opublikowane na Instagramie zdjęcie pokazuje, co się dzieje z przewodem pokarmowym dziecka, które połyka przypadkowo baterię.

Już w przełyku wskutek kontaktu ze śliną dochodzi do spięcia i rozgrzania baterii, a w dalszej kolejności - powstania oparzeń. Jeśli bateria utknie w przełyku, może doprowadzić nawet do jego perforacji.

Połknięcie baterii może skutkować zatruciem pokarmowym, lecz także poparzeniem gardła. Jeśli bateria jest stosunkowo duża, może także zatkać drogi oddechowe i sprawić, że dziecko się udusi.

Autorki wpisu zaznaczają, że bateria musi zostać jak najszybciej usunięta z organizmu dziecka (najlepiej w ciągu 2 godzin). Jeśli tak się nie stanie, malucha może czekać poważna operacja, miesiące pobytu na OIOM-ie, a w najgorszych przypadkach nawet śmierć.

Zastanawiasz się, czy twoje dziecko mogło połknąć baterię? Instagramerki wymieniają objawy, które powinny zwrócić uwagę rodziców:

  • ciężki oddech,

  • kaszel,

  • ślinienie się, krztuszenie się, dławienie lub wymioty,

  • brak apetytu,

  • gorączka,

  • krwawienie z nosa,

  • czarne lub czerwone wymioty,

  • czarny lub czerwony stolec,

  • ból w klatce piersiowej.

Kobiety prezentują też kilka zasad, które pomogą rodzicom minimalizować ryzyko takich wypadków:

  • przechowuj przedmioty zawierające baterie poza zasięgiem dzieci,

  • zabezpiecz przedmioty, które posiadają baterie (np. tylną część pilota zaklej taśmą klejącą),

  • natychmiast wyrzucaj zużyte baterie.

Pamiętajmy, jeśli zauważymy, że dziecko połknęło baterię, albo maluch sam się do tego przyznał, należy jak najszybciej przyjechać na oddział ratunkowy. Specjaliści wykonają rentgen i gastroskopię, co pozwoli im na dalsze działania.

Masz newsa, zdjęcie lub filmik? Prześlij nam przez dziejesie.wp.pl

Wybrane dla Ciebie
Odkryli jedną z możliwych przyczyn poronień. Naukowcy wskazali na rolę metabolizmu
Odkryli jedną z możliwych przyczyn poronień. Naukowcy wskazali na rolę metabolizmu
Gorączka bez objawów? Eksperci tłumaczą, co może się za tym kryć
Gorączka bez objawów? Eksperci tłumaczą, co może się za tym kryć
Kobiety w patowej sytuacji. Odstawienie tych leków przed ciążą zwiększa ryzyko tycia
Kobiety w patowej sytuacji. Odstawienie tych leków przed ciążą zwiększa ryzyko tycia
Emoji jako wołanie o pomoc. KidsAlert ujawnia ukryty język dzieci w internecie
Emoji jako wołanie o pomoc. KidsAlert ujawnia ukryty język dzieci w internecie
Dwulatek po hipotermii wrócił do zdrowia. "Cud zespołowej pracy"
Dwulatek po hipotermii wrócił do zdrowia. "Cud zespołowej pracy"
Przełomowe wytyczne dotyczące cukrzycy w ciąży. 27 kluczowych rekomendacji WHO
Przełomowe wytyczne dotyczące cukrzycy w ciąży. 27 kluczowych rekomendacji WHO
Dwa produkty dla dzieci wycofane z dużych sieciówek. Stanowią realne zagrożenie
Dwa produkty dla dzieci wycofane z dużych sieciówek. Stanowią realne zagrożenie
Liczba dzieci z nadciśnieniem się podwoiła. Eksperci alarmują
Liczba dzieci z nadciśnieniem się podwoiła. Eksperci alarmują
Barwniki w żywności zagrażają zdrowiu dzieci. Naukowcy alarmują o skali problemu
Barwniki w żywności zagrażają zdrowiu dzieci. Naukowcy alarmują o skali problemu
Oglądanie TV a późniejsze objawy ADHD. Brytyjczycy doszli do ciekawych wniosków
Oglądanie TV a późniejsze objawy ADHD. Brytyjczycy doszli do ciekawych wniosków
Finlandia uczy tego już przedszkolaków. Dlaczego Polska powinna wziąć z niej przykład?
Finlandia uczy tego już przedszkolaków. Dlaczego Polska powinna wziąć z niej przykład?
Autyzm a COVID-19. Naukowcy odkryli powiązanie, wyniki są niepokojące
Autyzm a COVID-19. Naukowcy odkryli powiązanie, wyniki są niepokojące