Przeprowadziła domową aborcję. Po badaniu lekarze przeżyli szok

Zakaz aborcji niesie za sobą bardzo poważne konsekwencje zdrowotne dla osób chcących na własną rękę przerwać ciążę. Przekonała się o tym 40-letnia pacjentka, której badanie rezonansem magnetycznym ujawniło niezwykłe zjawisko. Okazało się, że mimo aborcji płód dalej się rozwijał… w jelicie.

Przeprowadziła domową aborcję. Po badaniu lekarze przeżyli szokPrzeprowadziła domową aborcję. Po badaniu lekarze przeżyli szok
Źródło zdjęć: © Facebook
Maria Krasicka

Nieudana domowa aborcja

Magazyn medyczny Edorium Journals opublikował opis bardzo rzadkiego przypadku, z jakim spotkali się lekarze z Qazvin University of Medical Science w Iranie. Do szpitala trafiła bowiem 40-letnia kobieta z silnym bólem brzucha i anemią.

Pacjentka dodatkowo skarżyła się na brak apetytu, osłabienie i znaczną utratę kilogramów. Kiedy została dokładnie zbadana, okazało się, że jest w 29. tygodniu ciąży.

Było to o tyle zaskakujące, że w 14. tygodniu razem z położną przeprowadziła nielegalną aborcję w domu. Dopiero po 10. tygodniach zaczęła podejrzewać, że coś mogło pójść nie tak, jak zakładała, kiedy zaczęła odczuwać uciążliwe objawy.

Ginekolog ostrzega przed konsekwencjami orzeczenia TK

Ciąża brzuszna

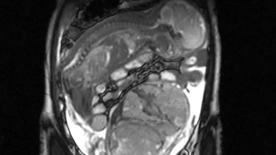
Lekarze odkryli również, że silne bóle brzucha są spowodowane tym, że podczas nieudanej próby przeprowadzenia aborcji doszło do pęknięcia macicy, a rozwijający się płód przedostał się w worku owodniowym do jelita. Niezwykłe zdjęcie z badania obrazowego obiegło media na całym świecie.

Płód rozwijał się w jelicie
Płód rozwijał się w jelicie © Facebook

Postanowiono jak najszybciej przeprowadzić operację i wyciągnąć dziecko. Szczęśliwie, mimo złego umiejscowienia w ciele matki, dziewczynka była całkowicie zdrowa.

"Zdecydowaliśmy się zakończyć ciążę po postawieniu diagnozy, ponieważ zastosowanie postępowania wyczekującego w nadziei na osiągnięcie dojrzałości płodu wiązałoby się z ryzykiem zagrażającego życiu krwotoku – czytamy w raporcie. - Ciąża brzuszna jest bardzo rzadkim schorzeniem, a diagnoza i leczenie muszą być szybkie" - zaznaczają autorzy.

Według nich w krajach, w których aborcja jest nielegalna, pacjenci o niskim statusie społeczno-ekonomicznym są narażeni na niebezpieczne konsekwencje samodzielnych prób przerwania ciąży.

"Dlatego tak ważne jest, by lekarze podstawowej opieki zdrowotnej uważnie obserwowali pacjentki z niechcianą ciążą i zapewniali im specjalną opiekę" - podsumowują w raporcie.

Masz newsa, zdjęcie lub filmik? Prześlij nam przez dziejesie.wp.pl

Wybrane dla Ciebie
Kreatywność nie ma ograniczeń. Kort tenisowy zamieniony w Świąteczną Strefę Zabawy
Kreatywność nie ma ograniczeń. Kort tenisowy zamieniony w Świąteczną Strefę Zabawy
"Survival rodzicielski". Zakupy z dziećmi bywają wyzwaniem. Jak sobie z tym radzić?
"Survival rodzicielski". Zakupy z dziećmi bywają wyzwaniem. Jak sobie z tym radzić?
Rodzice i dzieci mijają się w rozmowie. Kampania Mów Do Mnie #TokTuMi pokazuje skalę problemu
Rodzice i dzieci mijają się w rozmowie. Kampania Mów Do Mnie #TokTuMi pokazuje skalę problemu
Odkryli jedną z możliwych przyczyn poronień. Naukowcy wskazali na rolę metabolizmu
Odkryli jedną z możliwych przyczyn poronień. Naukowcy wskazali na rolę metabolizmu
Gorączka bez objawów? Eksperci tłumaczą, co może się za tym kryć
Gorączka bez objawów? Eksperci tłumaczą, co może się za tym kryć
Kobiety w patowej sytuacji. Odstawienie tych leków przed ciążą zwiększa ryzyko tycia
Kobiety w patowej sytuacji. Odstawienie tych leków przed ciążą zwiększa ryzyko tycia
Emoji jako wołanie o pomoc. KidsAlert ujawnia ukryty język dzieci w internecie
Emoji jako wołanie o pomoc. KidsAlert ujawnia ukryty język dzieci w internecie
Dwulatek po hipotermii wrócił do zdrowia. "Cud zespołowej pracy"
Dwulatek po hipotermii wrócił do zdrowia. "Cud zespołowej pracy"
Przełomowe wytyczne dotyczące cukrzycy w ciąży. 27 kluczowych rekomendacji WHO
Przełomowe wytyczne dotyczące cukrzycy w ciąży. 27 kluczowych rekomendacji WHO
Dwa produkty dla dzieci wycofane z dużych sieciówek. Stanowią realne zagrożenie
Dwa produkty dla dzieci wycofane z dużych sieciówek. Stanowią realne zagrożenie
Liczba dzieci z nadciśnieniem się podwoiła. Eksperci alarmują
Liczba dzieci z nadciśnieniem się podwoiła. Eksperci alarmują
Barwniki w żywności zagrażają zdrowiu dzieci. Naukowcy alarmują o skali problemu
Barwniki w żywności zagrażają zdrowiu dzieci. Naukowcy alarmują o skali problemu