aborcja a kolejna ciąża

Chylińska ma chore dzieci. "Nigdy się nie żaliłam"

Chylińska ma chore dzieci. "Nigdy się nie żaliłam"

Kamil S. Sikora Kamil S. Sikora
Magdalena Ogórek ostro wypowiedziała się o aborcji

Magdalena Ogórek ostro wypowiedziała się o aborcji

Kamil S. Sikora Kamil S. Sikora
Lekarze doradzali jej aborcję. Dziś jej synek ma cztery lata

Lekarze doradzali jej aborcję. Dziś jej synek ma cztery lata

Maria Krasicka Maria Krasicka
Ile aborcji wykonuje się w Polsce, a ile w Europie? Statystyki z 2019 roku

Ile aborcji wykonuje się w Polsce, a ile w Europie? Statystyki z 2019 roku

Katarzyna Gałązkiewicz Katarzyna Gałązkiewicz
Aborcja w latach 80. "To nie było tak, jak wyjście do fryzjera"

Aborcja w latach 80. "To nie było tak, jak wyjście do fryzjera"

Maja Erdmann Maja Erdmann
Aborcja - na czym polega, kiedy można ją przeprowadzić?

Aborcja - na czym polega, kiedy można ją przeprowadzić?

Ewa Rosiecka Ewa Rosiecka
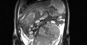
Lekarze odkryli płód w brzuchu noworodka. To tzw. potworniak

Lekarze odkryli płód w brzuchu noworodka. To tzw. potworniak

Maria Krasicka Maria Krasicka