Niemowlę połknęło zużytą baterię, która poparzyła mu przełyk

Chłopczyk trafił do szpitala po połknięciu baterii, którą wyciągnął z zabawki. Na miejscu okazało się, że bateria rozlała się i spaliła mu przełyk. Obecnie jest hospitalizowany.

połknął bateriępołknął baterię
Źródło zdjęć: © EastNews
Maria Krasicka

Połknięcie baterii

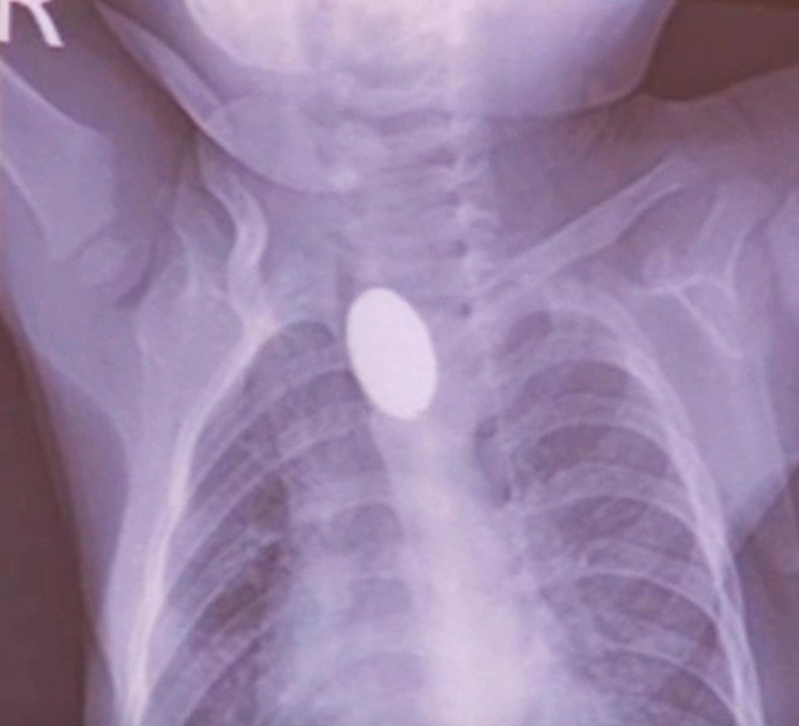
Do incydentu doszło w tureckiej prowincji Bingol, gdzie mały, 8-miesięczny chłopiec przypadkowo połknął rozładowaną baterię z jednej ze swoich zabawek.

Mama chłopca nie zauważyła, co się stało, ale gdy tylko zorientowała się, że coś jest nie tak, zabrała go do szpitala uniwersyteckiego Elazig Firat. W przeprowadzonej kontroli stwierdzono, że bateria utknęła w przełyku i spowodowała oparzenie. Wkrótce podjęto dezycję o usunięciu jej metodą endoskopową.

Dr Yasar Dogan, który zajął się chłopcem, zamarł, gdy wykonał rentgen. Wiedział, że musi działać szybko. Na szczęście był w stanie wyjąć przedmiot z jego przełyku za pomocą endoskopu, ale zauważył, że malec doznał oparzeń w miejscu, w którym bateria się zatrzymała.

Groźny wypadek unieruchomił chłopca na rok

Chłopiec połknął baterię
Chłopiec połknął baterię © EastNews

"Zauważyłem poważne oparzenia przełyku po usunięciu baterii metodą endoskopową. Zostanie wprowadzona specjalna metoda karmienia, tak by móc kontrolować stan gojenia ran dziecka, czy nie wystąpi infekcja"- powiedział dr Dogan.

Chłopiec połknął baterię
Chłopiec połknął baterię © EastNews

Chłopiec pozostanie w szpitalu przez następne dwa tygodnie i będzie musiał się stawiać na kontrole.

Co robić, gdy dziecko połknie mały przedmiot?

Dr Yasar Dogan wydał oświadczenie przypominające rodzicom, aby nie pozostawiać żadnych małych przedmiotów w zasięgu dzieci, ponieważ może dojść do tragedii.

"Jeśli doszło do takiego zdarzenia, należy niezwłocznie zabrać dziecko do najbliższej placówki służby zdrowia bez marnowania czasu. Rozładowane baterie mogą spowodować poważne oparzenia, a nawet perforację" – powiedział.

Jeśli dziecko ma problemy z oddychaniem, skarży się na ostry ból gardła lub straciło przytomność, należy natychmiast wezwać pogotowie.

Masz newsa, zdjęcie lub filmik? Prześlij nam przez dziejesie.wp.pl

Wybrane dla Ciebie
Odkryli jedną z możliwych przyczyn poronień. Naukowcy wskazali na rolę metabolizmu
Odkryli jedną z możliwych przyczyn poronień. Naukowcy wskazali na rolę metabolizmu
Gorączka bez objawów? Eksperci tłumaczą, co może się za tym kryć
Gorączka bez objawów? Eksperci tłumaczą, co może się za tym kryć
Kobiety w patowej sytuacji. Odstawienie tych leków przed ciążą zwiększa ryzyko tycia
Kobiety w patowej sytuacji. Odstawienie tych leków przed ciążą zwiększa ryzyko tycia
Emoji jako wołanie o pomoc. KidsAlert ujawnia ukryty język dzieci w internecie
Emoji jako wołanie o pomoc. KidsAlert ujawnia ukryty język dzieci w internecie
Dwulatek po hipotermii wrócił do zdrowia. "Cud zespołowej pracy"
Dwulatek po hipotermii wrócił do zdrowia. "Cud zespołowej pracy"
Przełomowe wytyczne dotyczące cukrzycy w ciąży. 27 kluczowych rekomendacji WHO
Przełomowe wytyczne dotyczące cukrzycy w ciąży. 27 kluczowych rekomendacji WHO
Dwa produkty dla dzieci wycofane z dużych sieciówek. Stanowią realne zagrożenie
Dwa produkty dla dzieci wycofane z dużych sieciówek. Stanowią realne zagrożenie
Liczba dzieci z nadciśnieniem się podwoiła. Eksperci alarmują
Liczba dzieci z nadciśnieniem się podwoiła. Eksperci alarmują
Barwniki w żywności zagrażają zdrowiu dzieci. Naukowcy alarmują o skali problemu
Barwniki w żywności zagrażają zdrowiu dzieci. Naukowcy alarmują o skali problemu
Oglądanie TV a późniejsze objawy ADHD. Brytyjczycy doszli do ciekawych wniosków
Oglądanie TV a późniejsze objawy ADHD. Brytyjczycy doszli do ciekawych wniosków
Finlandia uczy tego już przedszkolaków. Dlaczego Polska powinna wziąć z niej przykład?
Finlandia uczy tego już przedszkolaków. Dlaczego Polska powinna wziąć z niej przykład?
Autyzm a COVID-19. Naukowcy odkryli powiązanie, wyniki są niepokojące
Autyzm a COVID-19. Naukowcy odkryli powiązanie, wyniki są niepokojące