Chorzy na brak miłości. Deficyt bliskości powadzi do trwałych zmian w mózgu dziecka

Niekochane dzieci rozwijają się wolniej niż ich rówieśnicy. Naukowcy są przekonani, że zaspokojenie potrzeb z zakresu sfery emocjonalnej malucha, ma kluczowe znaczenia dla jego prawidłowego rozwoju. Różnice można zobaczyć porównując budowę mózgu u dzieci z rodzin pełnych i tych, które wychowywały się np. w placówkach opiekuńczych.

Brak dotyku upośledza rozwój mózgu dziecka.Brak dotyku upośledza rozwój mózgu dziecka.
Źródło zdjęć: © FB
Katarzyna Grzęda-Łozicka

Dotyk i pozytywne emocje - stymulacja rozwóju mózgu dziecka

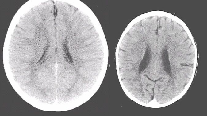
Przytulanie i bliski kontakt z maluchem mają kluczowe znaczenie dla jego prawidłowego rozwoju. Psychologowie dziecięcy są przekonani, że pierwsze trzy lata życia są okresem, kiedy bliski kontakt z co najmniej jednym z rodziców odgrywa dla dziecka bardzo ważną rolę, rzutując na dalszy rozwój emocjonalny i intelektualny malucha. Za przykład może posłużyć zestawienie zdjęć mózgu dwójki dzieci: jedno z nich wychowywało się w pełnej rodzinie, drugie w sierocińcu.

Różnice widać gołym okiem. Oba zdjęcia prezentują mózgi 3-letnich dzieci. Zdjęcie po lewej stronie pokazuje, w jaki sposób rozwija się maluch, który ma stały kontakt z bliskimi, jest przez nich przytulany i noszony na rękach.

Deficyt w zakresie emocjonalnym może prowadzić w przyszłości m.in. do zaburzeń intelektualnych. Różnice jeszcze dobitniej widać, kiedy popatrzymy na skany mózgów z zaznaczeniem obszarów aktywnych i nieaktywnych. Kolor czerwony oznacza obszary najbardziej aktywne, czarny – te, które są w zaniku.

Dotyk ma znaczenie dla wcześniaka

Po lewej - mózg dziecka z pełnej rodziny, po prawej mózg 3-latka wychowywanego w domu dziecka.
Po lewej - mózg dziecka z pełnej rodziny, po prawej mózg 3-latka wychowywanego w domu dziecka. © FB
Jak rozwija się mózg dziecka?
Jak rozwija się mózg dziecka? © FB

Powyższe skany jasno pokazują, że doświadczenia, które gromadzimy od pierwszych dni życia, determinują rozwój poszczególnych rejonów mózgu. Dziecko niekochane, opuszczone i zaniedbane nie rozwija się prawidłowo. W przyszłości może mieć problemy emocjonalne i poznawcze, które trudno będzie wyeliminować, bowiem niektóre sfery jego mózgu nigdy nie rozwinęły się prawidłowo.

Dotyk stymuluje rozwój

W pierwszym okresie życia dotyk jest najważniejszym ze zmysłów, którymi posługuje się niemowlę.

Badanie przeprowadzone przez amerykańskich naukowców z Uniwersytetu w Waszyngtonie jasno pokazało, w jaki sposób dotyk stymuluje rozwój malucha.

W trakcie eksperymentu rejestrowano czynności mózgu dziecka, które jest dotykane, głaskane przez rodzica po dłoni lub stópce. Podczas badania odnotowano, że podczas takiego bliskiego kontaktu w mózgu malucha powstają połączenia nerwowe, które odpowiadają m.in. za odczuwanie empatii, zdolność uczenia się i naśladownictwo.

Dzieci potrzebują emocjonalnego kontaktu z bliskimi
Dzieci potrzebują emocjonalnego kontaktu z bliskimi © iStock

Co ciekawe, nowe połączenia pomiędzy neuronami powstawały nie tylko, kiedy dziecko bezpośrednio odczuwało dotyk, ale również w sytuacji, kiedy było tylko biernym obserwatorem, czyli na przykład widziało jak mama dotyka swojej dłoni lub stopy. To rzuca nowe światło również na kwestie głęboko zakorzenionego naśladownictwa, które dla dzieci jest podstawą uczenia się i poznawania świata. Dlatego maluchy tak chętnie powtarzają prace domowe wykonywane przez dorosłych, udają, że gotują albo odkurzają jak mama czy tata.

Mózg dziecka jest jak gąbka

Autorka książki "Mądrzy rodzice" Margot Sunderland podkreśla, że układ nerwowy dziecka składa się z trzech części:

  • mózgu racjonalnego, który odpowiada za zdolność rozumienia, racjonalne myślenie, wyobraźnię;
  • mózgu ssaków, który odpowiada przede wszystkim za sferę emocjonalną, odczuwanie strachu, złości, smutku;
  • mózgu gadziego, który odpowiada za pierwotne instynkty.
Pierwsze lata życia są kluczowe w rozwoju sfery emocjonalnej malucha
Pierwsze lata życia są kluczowe w rozwoju sfery emocjonalnej malucha © iStock

Dziecko, które przez dłuższy czas doznaje silnych negatywnych przeżyć emocjonalnych, uaktywnia mechanizmy obronne, czyli aktywizuje mózg gadzi. Może to prowadzić później do problemu z odczuwaniem głębszych emocji i zaburzeń w rozwoju mózgu racjonalnego.

U dzieci, które wychowywały się w domach dziecka zaobserwowano m.in. zaburzenia w rozwoju sfer odpowiedzialnych za koncentrację, myślenie analityczne i odczuwanie emocji.

Dziecko naśladuje zachowania opiekunów
Dziecko naśladuje zachowania opiekunów © iStock

Przez pierwsze dwa lata życia, kształtuje się wzorzec przywiązania pomiędzy dzieckiem a głównym opiekunem. Jeżeli w tym momencie zabraknie bliskości, kontaktu dziecka z rodzicem, może się odbić niekorzystnie na maluchu.

Dziecko jest jak papierek lakmusowy, przesiąka tym, co widzi w domu. Naśladuje rodziców i bardzo szybko wyłapuje fałsz czy niekonsekwencję pomiędzy deklaracjami a czynami. To, co robimy jest dla niego ważniejsze od tego, co mówimy.

Tu przeczytasz więcej na temat sposobów na wspieranie rozwoju mózgu dziecka.

Masz newsa, zdjęcie lub filmik? Prześlij nam przez dziejesie.wp.pl

Wybrane dla Ciebie
Kreatywność nie ma ograniczeń. Kort tenisowy zamieniony w Świąteczną Strefę Zabawy
Kreatywność nie ma ograniczeń. Kort tenisowy zamieniony w Świąteczną Strefę Zabawy
"Survival rodzicielski". Zakupy z dziećmi bywają wyzwaniem. Jak sobie z tym radzić?
"Survival rodzicielski". Zakupy z dziećmi bywają wyzwaniem. Jak sobie z tym radzić?
Rodzice i dzieci mijają się w rozmowie. Kampania Mów Do Mnie #TokTuMi pokazuje skalę problemu
Rodzice i dzieci mijają się w rozmowie. Kampania Mów Do Mnie #TokTuMi pokazuje skalę problemu
Odkryli jedną z możliwych przyczyn poronień. Naukowcy wskazali na rolę metabolizmu
Odkryli jedną z możliwych przyczyn poronień. Naukowcy wskazali na rolę metabolizmu
Gorączka bez objawów? Eksperci tłumaczą, co może się za tym kryć
Gorączka bez objawów? Eksperci tłumaczą, co może się za tym kryć
Kobiety w patowej sytuacji. Odstawienie tych leków przed ciążą zwiększa ryzyko tycia
Kobiety w patowej sytuacji. Odstawienie tych leków przed ciążą zwiększa ryzyko tycia
Emoji jako wołanie o pomoc. KidsAlert ujawnia ukryty język dzieci w internecie
Emoji jako wołanie o pomoc. KidsAlert ujawnia ukryty język dzieci w internecie
Dwulatek po hipotermii wrócił do zdrowia. "Cud zespołowej pracy"
Dwulatek po hipotermii wrócił do zdrowia. "Cud zespołowej pracy"
Przełomowe wytyczne dotyczące cukrzycy w ciąży. 27 kluczowych rekomendacji WHO
Przełomowe wytyczne dotyczące cukrzycy w ciąży. 27 kluczowych rekomendacji WHO
Dwa produkty dla dzieci wycofane z dużych sieciówek. Stanowią realne zagrożenie
Dwa produkty dla dzieci wycofane z dużych sieciówek. Stanowią realne zagrożenie
Liczba dzieci z nadciśnieniem się podwoiła. Eksperci alarmują
Liczba dzieci z nadciśnieniem się podwoiła. Eksperci alarmują
Barwniki w żywności zagrażają zdrowiu dzieci. Naukowcy alarmują o skali problemu
Barwniki w żywności zagrażają zdrowiu dzieci. Naukowcy alarmują o skali problemu