Od 15 roku życia zmaga się z migreną. Okazało się, że to ogromny guz mózgu

Lisa zmagała się z migrenami od 15. roku życia. Niestety nic jej nie pomagało, a dolegliwości stawały się coraz bardziej uciążliwe. Kiedy zaczęła tracić czucie w dłoniach, wiedziała, że coś jest nie tak. Okazało się, że to 10-centymetrowy guz mózgu.

Od 15 roku życia zmaga się z migreną. Okazało się, że to ogromny guz mózguOd 15 roku życia zmaga się z migreną. Okazało się, że to ogromny guz mózgu
Źródło zdjęć: © Facebook
Maria Krasicka

Uporczywe migreny nastolatki

Kiedy Lisa Dumbiotis zaczęła zmagać się z migrenami, miała zaledwie 15 lat. Dolegliwości utrudniały jej normalne funkcjonowanie, a ból często powodował, że nie mogła uczestniczyć w lekcjach, czy spotykać się z rówieśnikami.

Jedynym sposobem na radzenie sobie z uciążliwym bólem były silne leki przeciwbólowe, które Lisa brała przez ponad połowę swojego życia. Jak tłumaczy, jedyny okres, w którym nie brała leków, to ciąża.

Niespodziewanie w 2021 roku młoda mama podczas jednego z ataków migreny, zaczęła tracić czucie w dłoniach. Miała także światłowstręt, mroczki przed oczami i zawroty głowy. Początkowo Lisa uznała, że są to kolejne dolegliwości związane z migreną, jednak nie minęły one nawet po zażyciu leków.

Bezdech senny mylony z ADHD

Lisa z synem
Lisa z synem © Facebook

- Znam swoje migreny i różnicę między migreną a zwykłym bólem głowy. Kiedy lek przestał działać i dalej nie mogłam ruszyć rękoma, wiedziałam, że coś jest nie tak – mówi w wywiadzie dla Metro.co.uk.

Straszna diagnoza

Kobieta postanowiła zbadać wzrok, ale kiedy wspomniała o objawach podczas badania, okulista natychmiast wysłał ją do szpitala Queen Elizabeth Hospital w Glasgow. Tam młoda mama została poddana badaniom obrazowym m.in. rezonansowi magnetycznemu głowy.

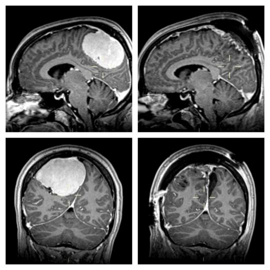
Wtedy wyszło na jaw, że Lisa ma 10-centymetrowego guza mózgu. Największego, jakiego do tej pory widzieli lokalni chirurdzy. Okazało się, że to właśnie jego nacisk na mózg powodował wszystkie dolegliwości.

Guz Lisy
Guz Lisy © Facebook

Na szczęście kolejne badania wykazały, że nie był to złośliwy nowotwó i można było go usunąć. Po guzie została tylko blizna, a migreny zniknęły. Lisa dzieli się teraz swoją historią, aby zachęcić inne osoby cierpiące na migreny do zrobienia szczegółowych badań.

- Musisz być świadomy tego, co odczuwasz, a jeśli jest inaczej niż zwykle, sprawdź to. Jeśli jesteś rodzicem, koniecznie obserwuj swoje dziecko. Możesz uratować mu życie – podsumowuje Lisa.

Ból głowy u dzieci

Ból głowy u dzieci i młodzieży może mieć wiele różnych przyczyn, takich jak choroba, czy infekcja wirusowa. Jednak jego przyczyny mogą być też tak prozaiczne jak głód i pragnienie. Należy więc zwracać szczególną uwagę, jakiego rodzaju jest to ból.

Może być to ból przewlekły, obejmujący całą głowę lub tylko jej część. Ważne jest też określenie tego, kiedy występują dolegliwości bólowe, o jakiej porze dnia i czy towarzyszą im inne objawy.

Może się okazać, że pojawia się aura, która zwiastuje migrenę. W niektórych przypadkach może być tot migrena oczna, która powoduje mniejszą ostrość widzenia, niedowidzenie, a nawet całkowitą utratę wzroku oraz nudności i wymioty.

Kiedy rodzicom i lekarzowi uda się określić czynniki wywołujące ból u dziecka lub nastolatka, wyeliminowanie ich będzie łatwiejsze, a ból głowy będzie szybszy do opanowania.

Masz newsa, zdjęcie lub filmik? Prześlij nam przez dziejesie.wp.pl

Wybrane dla Ciebie
Kreatywność nie ma ograniczeń. Kort tenisowy zamieniony w Świąteczną Strefę Zabawy
Kreatywność nie ma ograniczeń. Kort tenisowy zamieniony w Świąteczną Strefę Zabawy
"Survival rodzicielski". Zakupy z dziećmi bywają wyzwaniem. Jak sobie z tym radzić?
"Survival rodzicielski". Zakupy z dziećmi bywają wyzwaniem. Jak sobie z tym radzić?
Rodzice i dzieci mijają się w rozmowie. Kampania Mów Do Mnie #TokTuMi pokazuje skalę problemu
Rodzice i dzieci mijają się w rozmowie. Kampania Mów Do Mnie #TokTuMi pokazuje skalę problemu
Odkryli jedną z możliwych przyczyn poronień. Naukowcy wskazali na rolę metabolizmu
Odkryli jedną z możliwych przyczyn poronień. Naukowcy wskazali na rolę metabolizmu
Gorączka bez objawów? Eksperci tłumaczą, co może się za tym kryć
Gorączka bez objawów? Eksperci tłumaczą, co może się za tym kryć
Kobiety w patowej sytuacji. Odstawienie tych leków przed ciążą zwiększa ryzyko tycia
Kobiety w patowej sytuacji. Odstawienie tych leków przed ciążą zwiększa ryzyko tycia
Emoji jako wołanie o pomoc. KidsAlert ujawnia ukryty język dzieci w internecie
Emoji jako wołanie o pomoc. KidsAlert ujawnia ukryty język dzieci w internecie
Dwulatek po hipotermii wrócił do zdrowia. "Cud zespołowej pracy"
Dwulatek po hipotermii wrócił do zdrowia. "Cud zespołowej pracy"
Przełomowe wytyczne dotyczące cukrzycy w ciąży. 27 kluczowych rekomendacji WHO
Przełomowe wytyczne dotyczące cukrzycy w ciąży. 27 kluczowych rekomendacji WHO
Dwa produkty dla dzieci wycofane z dużych sieciówek. Stanowią realne zagrożenie
Dwa produkty dla dzieci wycofane z dużych sieciówek. Stanowią realne zagrożenie
Liczba dzieci z nadciśnieniem się podwoiła. Eksperci alarmują
Liczba dzieci z nadciśnieniem się podwoiła. Eksperci alarmują
Barwniki w żywności zagrażają zdrowiu dzieci. Naukowcy alarmują o skali problemu
Barwniki w żywności zagrażają zdrowiu dzieci. Naukowcy alarmują o skali problemu