Miała aborcję 20 lat temu. Lekarze odkryli, dlaczego nie mogła zajść w ciążę

Miała aborcję 20 lat temu. W ciele pozostała kość płodu, która uniemożliwiała zajście w ciążęMiała aborcję 20 lat temu. W ciele pozostała kość płodu, która uniemożliwiała zajście w ciążę
Źródło zdjęć: © Facebook

39-latka z Walii walczyła o zajście w ciążę od co najmniej dwóch lat. W międzyczasie doskwierały jej bóle miednicy, z którymi nie umiała sobie poradzić. Kiedy udała się do ginekologa, by opisać swoje problemy, okazało się, że mają związek z aborcją, którą kobieta przeszła 20 la temu.

Kłopoty z diagnozą

W raporcie sporządzonym przez lekarzy z oddziału Położnictwa i Ginekologii w Bangor w północnej Walii 39-latka została opisana jako "wysportowana, bez chorób przewlekłych". Podczas rezonansu magnetycznego wykryto jednak nieprawidłowości w tkance jej macicy, takie jak m.in. torbiele. Ale kobieta miała owulację, co sugerowało, że jest płodna. Mimo wszystko nie zachodziła w ciążę.

39-latkę postanowiono skierować do kliniki leczenia niepłodności, aby rozważyć poczęcie dziecka metodą in vitro. Jednak pacjentka i jej partner nie zostali zakwalifikowani, ponieważ okazało się, że oboje byli palaczami. Doradzono im, aby podczas starania się o dziecko zrezygnowali z nałogu.

Miała aborcję 20 lat temu. W ciele pozostała kość płodu, która uniemożliwiała zajście w ciążę
Miała aborcję 20 lat temu. W ciele pozostała kość płodu, która uniemożliwiała zajście w ciążę © Facebook

Długo nie mogła zajść w ciążę. Lekarz zorientował się, dlaczego

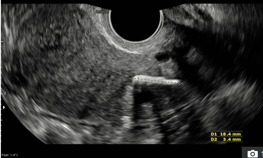
Mniej więcej rok później kobieta wróciła do kliniki ginekologicznej, skarżąc się na przewlekły ból w lewym boku i długie, bolesne okresy. Została zapisana na test barwnika, który miał sprawdzić, czy nie choruje na zespół policystycznych jajników (PCOS). W oczekiwaniu na operację pacjentka została poddana powtórnemu badaniu USG miednicy. Wtedy w tkance jej macicy odkryto ciało obce.

Ale dopiero podczas badania fizycznego i wykonania testu barwnika, okazało się, co jest przyczyną bólu i niemożności zajścia w ciążę. Lekarze wiedzieli, że kobieta przeszła aborcję chirurgiczną dwie dekady temu i doszli do wniosku, że ciałem obcym, które wykryto, jest kość płodu, która pozostała w łonie kobiety.

"Zatrzymanie kości płodu jest rzadkim, ale niedostatecznie zdiagnozowanym powikłaniem po aborcji. Nieleczona może powodować zaburzenia miesiączkowania i wtórną niepłodność" - napisano w raporcie.

Zauważono, że ani wcześniejszy rezonans magnetyczny oraz ultradźwięki nie wykryły kawałka kości, dlatego objawy kobiety były błędnie diagnozowane od lat.

Wybrane dla Ciebie
Odkryli jedną z możliwych przyczyn poronień. Naukowcy wskazali na rolę metabolizmu
Odkryli jedną z możliwych przyczyn poronień. Naukowcy wskazali na rolę metabolizmu
Gorączka bez objawów? Eksperci tłumaczą, co może się za tym kryć
Gorączka bez objawów? Eksperci tłumaczą, co może się za tym kryć
Kobiety w patowej sytuacji. Odstawienie tych leków przed ciążą zwiększa ryzyko tycia
Kobiety w patowej sytuacji. Odstawienie tych leków przed ciążą zwiększa ryzyko tycia
Emoji jako wołanie o pomoc. KidsAlert ujawnia ukryty język dzieci w internecie
Emoji jako wołanie o pomoc. KidsAlert ujawnia ukryty język dzieci w internecie
Dwulatek po hipotermii wrócił do zdrowia. "Cud zespołowej pracy"
Dwulatek po hipotermii wrócił do zdrowia. "Cud zespołowej pracy"
Przełomowe wytyczne dotyczące cukrzycy w ciąży. 27 kluczowych rekomendacji WHO
Przełomowe wytyczne dotyczące cukrzycy w ciąży. 27 kluczowych rekomendacji WHO
Dwa produkty dla dzieci wycofane z dużych sieciówek. Stanowią realne zagrożenie
Dwa produkty dla dzieci wycofane z dużych sieciówek. Stanowią realne zagrożenie
Liczba dzieci z nadciśnieniem się podwoiła. Eksperci alarmują
Liczba dzieci z nadciśnieniem się podwoiła. Eksperci alarmują
Barwniki w żywności zagrażają zdrowiu dzieci. Naukowcy alarmują o skali problemu
Barwniki w żywności zagrażają zdrowiu dzieci. Naukowcy alarmują o skali problemu
Oglądanie TV a późniejsze objawy ADHD. Brytyjczycy doszli do ciekawych wniosków
Oglądanie TV a późniejsze objawy ADHD. Brytyjczycy doszli do ciekawych wniosków
Finlandia uczy tego już przedszkolaków. Dlaczego Polska powinna wziąć z niej przykład?
Finlandia uczy tego już przedszkolaków. Dlaczego Polska powinna wziąć z niej przykład?
Autyzm a COVID-19. Naukowcy odkryli powiązanie, wyniki są niepokojące
Autyzm a COVID-19. Naukowcy odkryli powiązanie, wyniki są niepokojące