Dziewczynce wypadł ząb. Przez sen wciągnęła go do oskrzeli

Rodzicie 9-latki z Turcji zmartwili się, gdy rano zobaczyli, że dziewczynka nie ma jednego zęba. Gdy nie mogli znaleźć go w pobliżu łóżka, postanowili zabrać córkę na badania. Dobrze zrobili, gdyż ząb utknął w jej płucach.

Dziewczynce wypadł ząb. Przez sen wciągnęła go do oskrzeliDziewczynce wypadł ząb. Przez sen wciągnęła go do oskrzeli
Źródło zdjęć: © dalymail.co.uk

Mleczny ząb w oskrzelach

9-letnia dziewczynka z Turcji miała dużo szczęścia. Jej rodzice, zaniepokojeni stanem uzębienia córki, postanowili zabrać ją do lekarza. W nocy wypadł jej mleczny ząb, ale nie udało się go znaleźć. Rodzice podejrzewali, że ich córka mogła go połknąć.

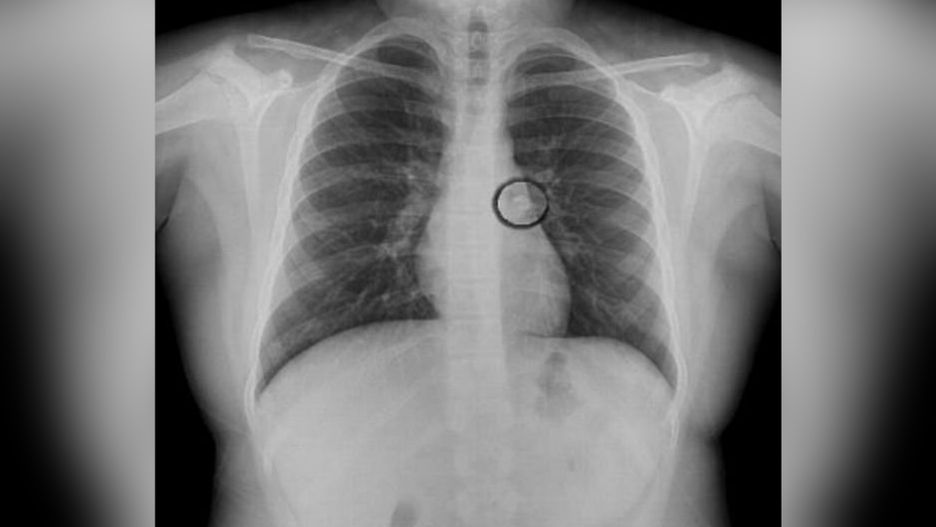
Podczas badań lekarz usłyszał szmer w lewym płucu dziewczynki. Zlecił wykonanie badania rentgenowskiego klatki piersiowej. Okazało się, że w oskrzelach tkwi ząb, który dziewczynka straciła w nocy. Podczas snu ząb przedostał się do jej dróg oddechowych. Wszyscy byli zaskoczeni tym widokiem.

Lekarze, przy pomocy elastycznej rurki, usunęli ciało obce i dziewczynka mogła wrócić do domu.

Dziecko zadławiło się popularną zabawką. Mama ostrzega

Ząb utknął w oskrzelach dziewczynki
Ząb utknął w oskrzelach dziewczynki © dailymail.co.uk

Ciało obce w drogach oddechowych

Ciała obce w drogach oddechowych częściej są diagnozowane u dzieci niż u dorosłych. Przeważnie dostają się do tchawicy lub dalej do oskrzeli. Aspiracja ciała obcego może zagrażać życiu, ponieważ utrudnia przepływ tlenu do płuc.

Zwykle, gdy ciało obce dostanie się do dróg oddechowych pojawiają się objawy takie jak kaszel i ciężki, świszczący oddech. Najczęściej aspiracja ciała obcego dotyczy jedzenia.

W przypadku wypadających zębów, dziecko bardzo często je połyka. W większości przypadków taki ząb przechodzi nienaruszony przez układ pokarmowy i zostaje wydalony. Jeśli dostanie się do dróg oddechowych może prowadzić do zadławienia lub utraty przytomności. Ciało obce, które dłuższy czas znajduje się w drogach oddechowych może spowodować powstanie ropnia lub zapalenia płuc.

Lekarze uczulają rodziców, żeby zwracali większą uwagę na dzieci i mieli świadomość zagrożeń wynikających z aspiracji ciała obcego.

Masz newsa, zdjęcie lub filmik? Prześlij nam przez dziejesie.wp.pl

Wybrane dla Ciebie
Odkryli jedną z możliwych przyczyn poronień. Naukowcy wskazali na rolę metabolizmu
Odkryli jedną z możliwych przyczyn poronień. Naukowcy wskazali na rolę metabolizmu
Gorączka bez objawów? Eksperci tłumaczą, co może się za tym kryć
Gorączka bez objawów? Eksperci tłumaczą, co może się za tym kryć
Kobiety w patowej sytuacji. Odstawienie tych leków przed ciążą zwiększa ryzyko tycia
Kobiety w patowej sytuacji. Odstawienie tych leków przed ciążą zwiększa ryzyko tycia
Emoji jako wołanie o pomoc. KidsAlert ujawnia ukryty język dzieci w internecie
Emoji jako wołanie o pomoc. KidsAlert ujawnia ukryty język dzieci w internecie
Dwulatek po hipotermii wrócił do zdrowia. "Cud zespołowej pracy"
Dwulatek po hipotermii wrócił do zdrowia. "Cud zespołowej pracy"
Przełomowe wytyczne dotyczące cukrzycy w ciąży. 27 kluczowych rekomendacji WHO
Przełomowe wytyczne dotyczące cukrzycy w ciąży. 27 kluczowych rekomendacji WHO
Dwa produkty dla dzieci wycofane z dużych sieciówek. Stanowią realne zagrożenie
Dwa produkty dla dzieci wycofane z dużych sieciówek. Stanowią realne zagrożenie
Liczba dzieci z nadciśnieniem się podwoiła. Eksperci alarmują
Liczba dzieci z nadciśnieniem się podwoiła. Eksperci alarmują
Barwniki w żywności zagrażają zdrowiu dzieci. Naukowcy alarmują o skali problemu
Barwniki w żywności zagrażają zdrowiu dzieci. Naukowcy alarmują o skali problemu
Oglądanie TV a późniejsze objawy ADHD. Brytyjczycy doszli do ciekawych wniosków
Oglądanie TV a późniejsze objawy ADHD. Brytyjczycy doszli do ciekawych wniosków
Finlandia uczy tego już przedszkolaków. Dlaczego Polska powinna wziąć z niej przykład?
Finlandia uczy tego już przedszkolaków. Dlaczego Polska powinna wziąć z niej przykład?
Autyzm a COVID-19. Naukowcy odkryli powiązanie, wyniki są niepokojące
Autyzm a COVID-19. Naukowcy odkryli powiązanie, wyniki są niepokojące